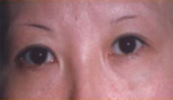
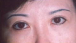
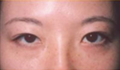
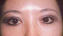
Improving the Appearance of Eyelids and Brow
The eyelids and brows function as a single aesthetic unit and must be evaluated and treated as a whole.
The objectives of treatment are to reverse the signs of aging, to harmonize the relationship of the eyelids and brows and to improve the appearance as a whole and in relationship to the rest of the face.



























